Cabinet AGORADENT
CHIRURGIE ORALE, ENDODONTIE, IMPLANTOLOGIE, OMNIPRATIQUE & PARODONTOLOGIE à SAINTES (17100)
1 rue de la fenêtre, 17100 SAINTES
+33 5 32 26 12 60

Blog - Page 10

Comblement de sinus par abord latéral sans pose d’implant

Comblement de sinus par abord latéral sans pose d’implant

Conseils pratiques pour une bonne hygiène bucco-dentaire avec un appareil

Conseils pratiques pour une bonne hygiène bucco-dentaire avec un appareil

La procédure de retraitement canalaire

La procédure de retraitement canalaire

Frénectomie labiale

Frénectomie labiale

Le syndrome d'apnées obstructives du sommeil (saos)

Le syndrome d'apnées obstructives du sommeil (saos)

Les micro-réveils nocturnes peuvent être le signe d'une apnée du sommeil avec obstruction respiratoire. Si vous êtes concerné, consultez rapidement pour retrouver un sommeil serein !

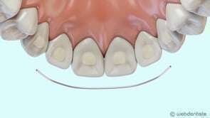
Fil de contention

Fil de contention

Affichage des articles 55-60 sur 208